
CTの重要性 < TOPページ

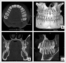
歯科用CTは、コンピュータによるデータ処理と画像の再構成により、立体的な断層写真を撮影する装置です。
従来のX線写真は2次元的な平面での診断しかできませんが、歯科用CTでは3次元の立体画像として診断することが可能なため、より多くの情報が得られます。
おもにインプラント治療や親知らずの抜歯、歯周病治療などに用いられます。3Dによる詳細な画像は、ほかの撮影法では判別できない痛みや症状の原因究明に役立ちます。
![]()
CTによる3次元の画像は立体であり、被写体そのものが写し出せるため、一般のレントゲンで見えなかった部分が容易に確認できるようになりました。顎の内部構造なども、リアルに見えます。
![]()
顎の形態・性状だけでなく、神経・血管の走行、上顎洞(鼻の奥)の形態や粘膜の状態、病巣などを立体画像で確認することができます。
![]()
インプラントだけでなく、矯正や根管治療、親知らずなど、幅広く歯科治療に応用することができ、正確な診査・診断により、治療の安全性を高めます。
![]()

インプラントを埋める部位の骨の質や厚み・形態、神経・血管の位置が正確に分かり、確実な診断が可能となります。また必要な場合には、手術中にもCT撮影ができることで、インプラントの位置や方向などの確認ができ、より安全・正確にインプラント手術をすることができます。
歯科用CTスキャンでの撮影画像をもとに、的確な治療計画を立てることは、安心な治療への第一歩です。
※当医院ではインプラント診断時には必ずCT撮影を行います。
![]()
歯の周囲の骨の破壊の程度が、立体的に把握でき、歯周病の進行度が正確に診断できます。
骨の状態からおおよその歯の寿命を積算することも可能です。それにより、最善の治療計画をたてることができ、治療の予知性が高くなります。
また、定期検診などの際のオプションとしてもCT解析により、より詳しい状態の説明ができます。
![]()
歯の位置や向き、また神経との位置関係が3次元的にわかることで、抜歯が手際よく安全に行えます。
埋伏歯などの位置なども正確に判断できるので、余分な切開や骨の切削などを避けることができます。
![]()
歯の根の先の病巣の状態など、通常レントゲン画像に比べてはるかに正確な診断ができます。
![]()
実行照射時間はわずか10数秒で、医科用CTに比べX線照射量は1/8~1/50と大幅に軽減できます。
![]()
これまで、CT撮影を行うためには、CTが導入されている大学病院などへ出向かなければならず、この場合、撮影から診断まで、最低でも1週間以上かかっていました。最近では、当院のような一般の歯医者レベルでも歯科用CTが導入されはじめ、歯科医院内でCT撮影ができるようになってきています。
当院では、CTの導入により、院内での即日撮影、精密な診査・診断、適切な治療が可能になりました。また撮影料金も抑えられるようになっています。
















